泽攸科技ZEM系列扫描电镜 | 生物活性玻璃载体负载的沙库巴曲/缬沙坦钠片对慢性心力衰竭大鼠心肌细胞的影响
日期:2025-12-05
研究背景
慢性心力衰竭是全球性的重大公共卫生挑战,其高发病率、高死亡率和高再住院率为医疗体系带来沉重负担。尽管现有的临床指南已推荐了血管紧张素受体脑啡肽酶抑制剂(ARNI)等多种药物的联合治疗方案,但许多患者的病情仍在持续进展,预后不佳。这凸显了当前治疗策略的局限性,其核心挑战之一在于传统的全身性给药方式难以保证药物在心脏病变部位达到并维持理想的治疗浓度,同时可能引发全身性副作用,从而限制了最终的治疗效果。

因此开发能够实现靶向、可控释放的创新药物递送系统,已成为该领域有待突破的技术瓶颈和重要战略需求。如该研究中探索的利用介孔纳米生物活性玻璃作为沙库巴曲缬沙坦的载体,正是为了解决这一难题。这类前沿技术旨在将药物递送至受损的心肌组织,通过优化药物的生物利用度和局部浓度,在增强心脏保护和修复效果的同时,降低全身不良反应的风险,这不仅为提升现有药物的治疗潜力提供了新思路,也代表了未来心衰精准治疗的重要发展方向。

针对上述问题,由唐山市工人医院组成的团队利用泽攸科技的ZEM20扫描电镜进行了系统研究,其核心创新在于将介孔纳米生物活性玻璃作为新型药物载体,负载心力衰竭治疗药物沙库巴曲缬沙坦,并证实该策略能显著增强药物对心肌细胞的保护效果。
标题:Effects of Bioactive Glass Carrier-Loaded Sacubitril/Valsartan Sodium Tablets on Cardiomyocytes From Rats With Chronic Heart Failure
期刊:International Journal of Pharmacology
网址:https://doi.org/10.31083/ijp44207

创新药物递送系统的制备与表征
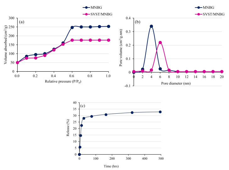
为提升心力衰竭治疗药物沙库巴曲缬沙坦(SVST)的生物利用度和靶向效果,研究团队首先采用溶胶-凝胶法,成功构建了一种新型的药物递送系统——负载了SVST的介孔纳米生物活性玻璃(SVST/MNBG)微球。 为确保该系统的有效性,团队利用了泽攸科技的ZEM20扫描电子显微镜,对其微观形貌和粒径进行了细致的观察与分析,证实了其均一的球形结构。 此外,通过氮气吸附/解吸实验和体外药物释放实验,结果表明该载体具有典型的介孔结构,并能在超过500小时的时间里实现药物的稳定、持续释放,证明其作为药物缓释载体具有巨大潜力。

图 MNBG表征。(a) 氮气吸附/脱附等温线,(b) 孔径分布曲线,(c) 随时间变化的药物释放曲线
体内疗效的综合评估
研究团队通过结扎大鼠腹主动脉的方式,成功建立了慢性心力衰竭(CHF)的动物模型,并将其分为模型组、常规SVST治疗组以及新型SVST/MNBG治疗组进行对比研究。 治疗结束后,通过彩色多普勒超声评估发现,与常规药物组相比,SVST/MNBG治疗组在改善心脏功能方面表现出显著优势,具体体现在左心室射血分数(LVEF)和短轴缩短率(LVFS)等关键指标的明显提升。 同时,对心肌组织的生化检测结果也显示,SVST/MNBG能更有效地降低代表心肌损伤的肌酸激酶同工酶(CK-MB)和N末端B型利钠肽原(NT-proBNP)的水平,并调节活性氧(ROS)与一氧化氮(NO)的平衡,从而显著减轻心肌的氧化应激损伤。

图 各组大鼠心功能指标。(a) 左室舒张末期内径 (b) 左室收缩末期内径 (c) 左室射血分数 (d) 左室短轴缩短率 (e) 左室后壁舒张末期厚度 (f) 左室后壁收缩末期厚度
心肌组织病理形态的改善
为了更直观地评价治疗效果,研究人员对各组大鼠的心肌组织进行了病理学切片分析。 结果显示,未经治疗的CHF模型组大鼠心肌纤维排列紊乱、细胞肿胀,出现明显的病理损伤特征。 经过常规SVST治疗后,这些损伤得到了一定程度的缓解,但仍可见少量纤维断裂和细胞空泡。 相比之下,接受SVST/MNBG治疗的大鼠心肌组织结构更为清晰,细胞核大小均一,纤维排列也更有序,表明负载了生物活性玻璃的新型药物在修复受损心肌组织、改善心肌重塑方面具有更强的效果。

图 各组大鼠心肌组织病理形态(×200,×400)。(a) 对照组,(b) 慢性心力衰竭组,(c) 沙库巴曲缬沙坦片组,(d) 沙库巴曲缬沙坦片/介孔纳米生物活性玻璃组
细胞保护机制的深入探究
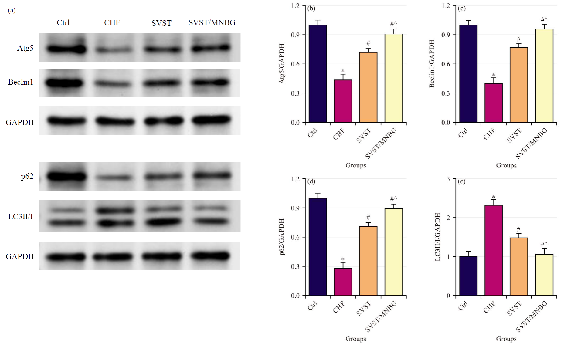
为揭示SVST/MNBG更优疗效的深层原因,研究进一步探究了其对心肌细胞凋亡和自噬这两个关键过程的影响。 通过Western Blotting蛋白印迹法检测发现,SVST/MNBG能够更显著地上调抗凋亡蛋白Bcl-2的表达,同时下调促凋亡蛋白Bax的表达,从而更有效地抑制心肌细胞的死亡。 另一方面,该药物还能显著上调Atg5、Beclin1和p62等自噬相关蛋白的水平,并降低LC3II/I的比值,这表明它能够调节心力衰竭状态下失衡的细胞自噬过程,恢复细胞的正常生理功能。 这一发现揭示了SVST/MNBG通过“凋亡-自噬”双重调控通路来发挥其心肌保护作用。

泽攸科技ZEM系列扫描电镜是一款集成度高、便携性强且经济实用的科研设备。它具备快速抽真空、高成像速度、多样的信号探测器选择,适用于形貌观测和成分分析,还能适配多种原位实验需求。该设备对安装环境要求低,不挑楼层,操作简单,非专业人士也能快速上手,能够更广泛地应用于新材料研发、生命科学、失效分析、工业质检等多个领域,为广大科研院所和企业用户提供了一套兼具高性能与高性价比的强大微观表征解决方案。
作者:泽攸科技
